
The June 26, 2010 Julien’s Entertainment Memorabilia Auction proved yet once again that Marilyn Monroe fans around the world continue to pay nearly any price for a piece of the legend. In some cases, as usual, the hammer price went far beyond initial estimates.
The sale’s more interesting items with prices realized are provided below. Note: These prices do NOT INCLUDE the additional 25% buyer’s premium.
MARILYN MONROE CHAIR USED IN FINAL PHOTO SESSION
Winning bid $28,000.00
Estimate: $2,000.00 – $4,000.00
Starting: $1,000.00
Description: Italian-style carved chair with green velvet upholstery. This chair was used in the July 1962 photo shoot with Life magazine photographer Allan Grant to accompany a Life magazine article by Richard Meryman. The chair has had three owners since Marilyn’s death. Letters from the first and second owners accompany the chair. The photographs were taken in Monroe’s recently purchased Brentwood home. Allan Grant chose this chair and placed it below the window for the light it offered. He was instructed to photograph Marilyn – to forget the Monroe, movie star part of her personality and simply photograph Marilyn the person. Grant asked Monroe to choose casual clothes to wear. She chose a black sweater, capris and spiked heels. The effect of the heels is evident in a small tear in the upholstery. As Monroe sat on the back of the chair she also caused a small crack in the wood. At the time of the article Monroe had just been fired from the unreleased film “Something’s Got To Give.” Monroe agreed to three interviews to show that she was not beaten by this misfortune. But she distrusted the press and their treatment of her in the past. As Meryman left she reportedly whispered, “Please don’t make me a joke.”

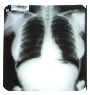
MARILYN MONROE CHEST X-RAY
Winning bid $20,000.00
Estimate: $800.00 – $1,200.00
Starting: $400.00
Description: X-ray of Marilyn Monroe’s chest. Printed on the x-ray is the following information, “Cedars of Lebanon Hospital/Drs. E. Freedman and S. Finck/ Name Di Maggio Marilyn/ No. 50612 Date 11-10-54/ Ref. By Dr. L. Krohn.” As a radiology resident at Cedars, a young doctor obtained these x-rays. When he taught at the school himself, he used these x-rays to ensure that students were paying attention. Monroe was said to have known about the x-rays and their use, about which she said “Isn’t that sweet.” Monroe’s hospital visit was said to be for her chronic endometriosis – or as her doctor’s described it, “For correction of a female disorder she has suffered for years.” Accompanied by a copy of the X-Ray. 17 by 13 3/4 inches
MARILYN MONROE FUNERAL PROGRAM
Winning bid $4,250.00
Estimate: $600.00 – $800.00
Starting: $300.00
Description: Card reads, “In Memory of Marilyn Monroe” with the details of her funeral service and Psalm 23. Printed by the Westwood Village Mortuary. 6 by 3 3/4 inches PROVENANCE From the Estate of Dr. Ralph Greenson, Monroe’s analyst.

MARILYN MONROE PINK PUCCI BLOUSE
Winning bid $3,750.00
Estimate: $2,000.00 – $4,000.00
Starting: $1,000.00
Description: Pink long-sleeve boat neck Pucci blouse of silk jersey, size 12, label reads “Made in Italy Exclusively for Saks Fifth Avenue,” and Emilio Pucci/ Florence, Italy.” Given to the daughter of Monroe’s analyst in 1962 because Monroe felt it was too large for her. PROVENANCE From the Estate of Dr. Ralph Greenson, Monroe’s analyst.

MARILYN MONROE PERSONALIZED CHAMPAGNE GLASS
Winning bid $4,500.00
Estimate: $2,000.00 – $3,000.00
Description: Champagne coupe made for Marilyn Monroe and given to her on her birthday. The glass is cut to read, “Marilyn” and visible to the person drinking from the glass. PROVENANCE From the Estate of Dr. Ralph Greenson, Monroe’s analyst.
MARILYN MONROE PROMPT BOOK FROM “SOMETHINGS GOT TO GIVE”
Winning bid $5,750.00
Estimate: $6,000.00 – $8,000.00
Starting: $3,000.00
Description: Thirty-two-page prompt book for the film “Something’s Got to Give” (20th Century Fox, 1962), black cover with title card typed with the name “Marilyn Monroe” and the title of the film. Monroe was working on this remake of “My Favorite Wife” at the time of her death. Notes throughout the book written in pencil by Monroe with her stage directions to herself. 7 2/8 by 9 inches PROVENANCE Lot 50, “The Personal Property of Marilyn Monroe,” Christie’s, New York, Sale number 9216, October 27-28, 1999.

MARILYN MONROE CEIL CHAPMAN EVENING GOWN
Winning bid $5,000.00
Estimate: $800.00 – $1,200.00
Starting: $400.00
Description: Yellow silk sleeveless evening gown, with cross gathered skirt and bodice adorned with bugle beading, side zipper, interior label reads, “Ceil Chapman.” The skirt is heavily stained with red and blue dye from other garments and the zipper is not in working order. PROVENANCE Partial Lot 105, “Property From the Estate of Marilyn Monroe,” Julien’s Auctions, Los Angeles, June 4, 2005.
MARILYN MONROE EVENING JACKET
Winning bid $3,500.00
Estimate: $800.00 – $1,200.00
Starting: $400.00
Description: Red silk evening jacket, single-button closure, A-line shape, three-quarter sleeved, interior label reads, “Gunther/Jaeckel/New York.” Ripping, fraying and holes present due to age. PROVENANCE Partial Lot 105, “Property From the Estate of Marilyn Monroe,” Julien’s Auctions, Los Angeles, June 4, 2005.
MARILYN MONROE CASHMERE MOCK TURTLENECK SWEATER
Winning bid $7,000.00
Estimate: $1,000.00 – $2,000.00
Starting: $500.00
Description: Marilyn Monroe owned beige cashmere, long sleeved, mock turtleneck sweater. Label reads, “Bernhard Altmann/ 100% Pure Cashmere/ Made in Austria.” Moth holes evident. PROVENANCE Partial Lot 12, “Property From the Estate of Marilyn Monroe,” Julien’s Auctions, Los Angeles, June 4, 2005

MARILYN MONROE CREW NECK SWEATER
Winning bid $9,500.00
Estimate: $1,000.00 – $2,000.00
Starting: $500.00
Description: Marilyn Monroe owned off-white cashmere short-sleeved crew neck sweater. Label reads, “MacMillan/ of Thornielee/ Scotland/ 100% Pure Cashmere/ Made Expressly/ for/ Jay Thorpx.” PROVENANCE Partial Lot 12, “Property From the Estate of Marilyn Monroe,” Julien’s Auctions, Los Angeles, June 4, 2005
Winning bid $3,000.00
Estimate: $400.00 – $600.00
Description: Black belt owned by Marilyn Monroe. This item was worn by Monroe in the film “As Young As You Feel” (20th Century Fox, 1951). The belt can be viewed with Lot 126 of the Christie’s catalog but was sold with Lot 114 at the 1999 sale of Marilyn Monroe’s personal property. PROVENANCE Partial Lot 114, “The Personal Property of Marilyn Monroe,” Christie’s, New York, Sale number 9216, October 27-28, 1999

MARILYN MONROE CECIL BEATON PHOTOGRAPH
Winning bid $2,750.00
Estimate: $1,000.00 – $2,000.00
Starting: $500.00
Description: Original vintage black and white photograph of Marilyn Monroe taken in 1956 and printed by Cecil Beaton Studios c. 1958. It is said to be Monroe’s favorite photograph of herself. The day after this photograph was taken Monroe legally changed her name to Marilyn Monroe, her stage name of many years. 14 by 14 inches, overall

MARILYN MONROE CHANEL No. 5 PERFUME BOTTLE
Winning bid $7,500.00
Estimate: $800.00 – $1,200.00
Starting: $400.00
Description: Chanel No. 5 unopened bottle of perfume, owned by Marilyn Monroe, in original plastic wrap and box, Sotheby’s lot sticker attached. Monroe aligned herself with the perfume in 1953; when asked what she wore to bed, Monroe replied, “Chanel No. 5.” Her endorsement helped popularize the perfume in the United States. 2 1/4 inches tall by 1 1/2 inches wide by 1 inch depth PROVENANCE Partial Lot 102A, “Entertainment Memorabilia Including Property From the Estates of Ella Fitzgerald and Dorothy Lamour,” Sotheby’s, Beverly Hills, Sale number 6975, May 21, 1997.
MARILYN MONROE SIGNED CHECK TO MICHAEL CHEKHOV
Winning bid $1,900.00
Estimate: $600.00 – $800.00
Starting: $300.00
Description: Check signed by Marilyn Monroe written to Michael Chekhov, dated “Oct 18 1954,” in the amount of $45. Monroe studied acting with Chekhov in the early 1950s prior to working with Lee and Paula Strasberg. 2 6/8 by 5 6/8 inches.

MARILYN MONROE ORIGINAL PHOTOGRAPH FROM KOREA
Winning bid $4,000.00
Estimate: $200.00 – $400.00
Starting: $100.00
Description: Original black and white vintage photograph of Marilyn Monroe in Korea in 1954. The consignor who has been in possession of this item since 1954 was a USAF Combat Controller during the Korean War. 10 by 8 inches

MARILYN MONROE SIGNED PROMOTIONAL IMAGE
Winning bid $4,000.00
Estimate: $4,000.00 – $6,000.00
Starting: $2,000.00
Description: Marilyn Monroe signed black and white image, possibly from a magazine, showing the Frank Powolny promotional picture of Marilyn Monroe as her character, Kay Weston, in “River of No Return” (20th Century Fox, 1954). Signed in lower left corner, some staining on image and crease. 16 2/8 by 9 1/8 inches, overall
MARILYN MONROE SIGNED CHECK
Winning bid $1,800.00
Estimate: $600.00 – $800.00
Starting: $300.00
Description: Marilyn Monroe signed check dated “Aug 7, 1953,” to “Cash,” in the amount of $25 from the Bank of America using a Bank of Montreal Counter Cheque. At this time Monroe was working in Canada filming “River of No Return” (20th Century Fox, 1954). 2 6/8 by 6 2/8
Winning bid $1,900.00
Estimate: $600.00 – $800.00
Starting: $300.00
Description: Marilyn Monroe signed check, dated “Nov 18 1950,” written “Allandales” [sic] in the amount of $4.09. Written and signed in blue pen. 2 6/8 by 6 2/8 inches.

MARILYN MONROE PHOTO SHOOT USED SKIS
Winning bid $1,400.00
Estimate: $600.00 – $800.00
Starting: $300.00
Description: Vintage wooden skis, Anderson laminated Ski Patent 038530 (design patented in 1907), with metal initials “MM” on each ski, believed to be owned by Monroe and used in an early photo shoot c.1945, same or similar to the accompanying photograph. The skis were acquired 25 years ago by a young man doing a good deed. The young man saw a man with a broken down car by the side of the road. He assisted the gentleman in getting a tow and then drove him home. The old man invited him in. On the walls of the man’s house hung photographs of Hollywood stars. The older man said he noticed the ski rack on the younger man’s car and would he like a unique old pair of skis. The young man said yes and planned to hang them in his apartment. The skis were marked “MM.” The old man explained with a smile that they belonged to Marilyn Monroe and felt that they were now in good hands.






45K is heck of money just for the scans!
have a photo album cira 1953river of no return autographs preminger Marilyn calhoon lita baron Helen Thurston setpics of the set building cabin raft set sack grips prod asst etc.